〒662-0016 兵庫県西宮市甲陽園若江町6-15
阪急電鉄「甲陽園駅」より徒歩1分
夙川、苦楽園、仁川、甲東園、門戸厄神、芦屋市から車15分
宝塚市、伊丹市、三田市からも車30分

診療時間
午前 × ×
午後 × ×

午前:9:00~12:00
午後:14:00~18:00
△:9:00~13:00
休診日:水曜・日曜・祝日

ご予約・お問合せはこちら

0798-70-3330
ATTENTION

お子さまの歯並び、
気になりませんか?

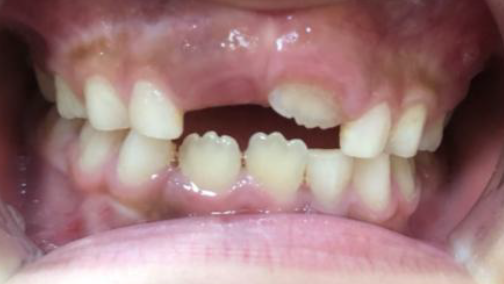
ATTENTION

その歯並び、
お口の癖が原因かもしれません

こんな癖や様子は
ありませんか?

多くの場合、歯並びの乱れは遺伝ではなく、
日常の何気ない「お口の癖」が
引き起こしています。 

お口の癖が引き起こす悪影響

口で呼吸することによる影響

  • お口の中が乾燥し、口臭の原因に
  • 風邪などの病原体を直接吸い込むため、免疫力の低下につながる
  • 集中力や運動時の持久力が低下することも
  • 顔立ちに影響を与える可能性がある(あごや骨の発達)
  • 姿勢が猫背になりやすい

舌の位置や癖による影響

  • 舌が適切な位置にないと上あごを支えられず、あごが下方に成長してガミースマイルや出っ歯の原因に
  • お顔全体が下がり気味の印象になることも
  • 発音が不明瞭になり、滑舌に影響が出る  
  • 舌の筋力が弱いと、咽頭(鼻の奥から食道の入り口までの、食べ物と空気が通る部位)に舌が落ち込み、いびきを引き起こす

飲み込み方と噛み方による影響

  • お口周りの筋肉で飲み込む癖があると、歯が圧迫されて歯並びに影響が…
  • 唇の形が崩れたり、頬がこけたような印象に  
  • 十分に咀嚼できないことで消化不良を起こしやすく、唾液の分泌も少なくなる

お口周りの筋力不足による影響

  • 唇の形が崩れるだけでなく、お顔全体が下方になる傾向がある
  • 口呼吸のきっかけになることも
  • あごが適切に成長しにくくなる
  • 目の下にクマができやすくなったり、白目が見えやすい目の形になる

お子さまの歯並び治療では、
歯並びが悪くなる根本的な原因に
アプローチすることが重要です。

当院の予防矯正を通じて、
お口の癖を改善して
いきましょう。

 

まずは無料相談で気になることを
お聞かせください

PREVENTION

予防矯正とは

根本的な原因
アプローチする

予防矯正

歯並びが乱れる背景には、日常の生活習慣やお口の癖が深く関わっています。

予防矯正では、歯並びそのものを整えるのではなく、歯並びを悪化させている根本的な要因を改善。

習癖や生活習慣を見直すことで、歯が本来あるべき位置へ自然に誘導されていくことを目指します。
歯だけに注目した治療ではなく、お子さまの成長を長期的に見据え、負担を抑えながら取り組める治療方法です。

予防矯正の特徴

根本原因を整えることで
歯並びを改善
表面的に歯並びを整えるだけでなく、
根本的な要因にアプローチするため、
治療後に再び悪化するリスクを抑えられます。
目立ちにくい
取り外し式の装置
取り外しが可能な装置を使用するため、
周囲の人に気づかれにくく、
見た目の心配が少ない治療法です。
お子さまへの
負担を軽減
小学生のうちに治療を
完了することを目標としているため、
長期間にわたる負担を抑られます。

アクティビティ矯正装置
2方面から
原因の改善を行います

お口周りの癖を整える

  • 鼻呼吸への移行
  • 舌をより適切な位置に誘導
  • 正しい飲み込み方の習得
  • 姿勢バランスの改善

歯並びを整える

  • マウスピース型トレーナー
  • 機能的矯正装置(取り外し式)
  • 拡大装置
  • 固定式矯正装置

根本改善がもたらす
3のメリット

お口周りの癖を整えることには、
大きく分けて3つの重要な意味があります。

整った歯並びを維持し、
美しい口元へ  

現在歯並びに問題がないお子さまでも、お口の癖を早めに整えておくことで、将来的な歯並びの乱れを防止できます。健やかな歯並びを保ちながら成長していくことが期待できます。

すでに歯並びに乱れが見られる場合でも、癖を改善することで後戻りを抑え、矯正治療の効果をより引き出しやすくなります。

全身の健やかな発育をサポート

お口周りの癖を整えることで、歯並びだけでなく身体全体にも良い影響が期待できます。

例えば鼻呼吸が習慣化されると、免疫機能の向上、成長ホルモンの分泌促進、集中力の維持、睡眠の質の向上など、さまざまな変化が見られることがあります。

こうした改善は、お子さまの健全な成長を後押しする要素となります。

美しい顔立ちに成長

お口の癖を整えることは、骨格やお口周りの筋肉の発育にも影響します。

例えば口で呼吸する習慣があると、あごが下方向に成長しやすくなり、骨格や筋肉のバランスが崩れることで、お顔全体が下がり気味の印象になることがあります。

一方、鼻呼吸が定着すると、あごや骨格、筋肉が適切に発達し、調和の取れた美しい顔立ちへと近づいていきます。

FLOW

予防矯正の流れ

矯正に関するご相談

お子さまの歯並びについて気になる点がございましたら、お気軽にご相談ください。

当院では無料相談を行っておりますので、ぜひご活用ください。
お悩みや症状について詳しくお伺いしたうえで、治療にかかる期間や費用についてご説明いたします。

詳細な検査でお口の状態を把握

治療を始める前に、お顔やお口の中を詳しく調べる精密検査を実施いたします。レントゲン撮影や噛み合わせの確認などを通じて、現状を正確に把握します。

検査結果に基づく治療方針のご説明

精密検査の結果をもとに、治療にかかる期間や費用、進め方などを詳しくご説明いたします。親御さまはもちろん、お子さまご自身にもご理解いただいたうえで治療を開始しますので、ご安心ください。

0期矯正とアクティビティの開始

治療内容にご納得いただけましたら、計画に沿って治療を進めてまいります。定期的にご来院いただきながら、経過や状態を確認していきます。

同時に、お口周りの癖を整えるためのアクティビティにも取り組んでいきます。

1期矯正の開始 

0期矯正とアクティビティを通じて、歯が適切に生えてくる土台が整いましたら、1期矯正へと移行します。

START

始める時期について

成長期を活かした
治療のため、

早めのご相談

生活習慣やお口の癖を整え、あごの成長を活用しながら歯並びの乱れを無理なく予防する方法です。

あごが成長段階にある5〜10歳頃を目安に行います。

6歳を過ぎると歯並びの乱れの兆候が見られることがあるため、早い段階でのご相談をおすすめしています。

予防矯正は「今」だからこそ
行える治療です

-1~5歳 5~8歳 8~12歳 12歳~
-Ⅰ期
食育・能力開発
0期矯正
予防矯正
Ⅰ期矯正
拡大装置

Ⅱ期矯正
成人マウスピース矯正
ブラケット矯正

正しい動きを覚え
悪い癖をつけない
悪い癖を治す 自然な歯並びを
誘導する
よりきれいに
歯を並べる


5歳頃からの
予防矯正がおすすめ

 

お子さまのあごは日々成長しています。
歯並びに乱れが現れる前に、
ぜひご相談ください。

まずは無料相談で気になることを
お聞かせください

REASON

当院が選ばれる理由

豊富な知識経験を持つ
スタッフが対応

予防矯正は、歯並びに関する専門知識と豊富な経験を持つスタッフが担当いたします。

これまで多くの症例に携わってきた経験をもとに、お子さま一人ひとりに合わせた治療をご提案いたします。

予防矯正では生活習慣などの日常的な取り組みも重要となるため、ご家族で協力して進められるよう、丁寧にご説明いたします。

土曜午後
診療対応しています

土曜も18:00まで診療を行っておりますので、平日は学校や部活、習い事などで時間が取りにくいお子さまでも、無理なく通院していただけます。

矯正治療について気になることやご質問がございましたら、事前にご連絡いただければ対応いたしますので、お気軽にご相談ください。

衛生管理感染予防への
徹底した取り組み

患者さまに安心してご来院いただけるよう、衛生管理と感染予防対策に力を入れています。

手袋やコップなど使い捨て可能なものはすべてディスポーザブル製品を使用し、治療器具は高圧蒸気滅菌器で滅菌処理を行っています。

また、スタッフへの衛生教育にも注力し、正しい知識に基づいた対応で患者さまに安心をお届けしています。

高圧蒸気滅菌器

ディスポーザブル製品

CASE

症例紹介

反対咬合

Before

After

治療内容 プレオルソ
主訴 受け口
治療期間 10カ月
性別・年齢 4歳・男児
費用 495,000円(税込)
リスク・副作用 毎日のトレーニングを怠ると良好な結果が得られません。夜寝るときに装置をお口に入れておく必要があります。生涯の歯並びを保証するものではありません(成長により通常矯正が必要になる場合があります)。症状が改善されない場合は他の矯正治療に移行する場合もあります。

スペース不足

Before

After

治療内容 プレオルソ
主訴 スペース不足
治療期間 12カ月
性別・年齢 8歳・男児
費用 495,000円(税込)
リスク・副作用 毎日のトレーニングを怠ると良好な結果が得られません。夜寝るときに装置をお口に入れておく必要があります。生涯の歯並びを保証するものではありません(成長により通常矯正が必要になる場合があります)。症状が改善されない場合は他の矯正治療に移行する場合もあります。

開咬

Before

After

治療内容 プレオルソ
主訴 開咬
治療期間 13カ月
性別・年齢 9歳・女児
費用 495,000円(税込)
リスク・副作用 毎日のトレーニングを怠ると良好な結果が得られません。夜寝るときに装置をお口に入れておく必要があります。生涯の歯並びを保証するものではありません(成長により通常矯正が必要になる場合があります)。症状が改善されない場合は他の矯正治療に移行する場合もあります。
FEE

治療費について

治療方法

筋機能矯正
プラン

予防矯正
プラン

筋機能矯正

インビザライン
ファースト

 

MFT

治療費

242,000円

495,000 円

調整+
トレーニング

毎月
3,300 円

毎月
3,300 円

治療期間

12か月

30カ月

※お子様の年齢や歯並びの状態によっては、予防矯正後にインビザラインに移行する可能性があります。
予防矯正プランの治療期間については、目安です。

※全て税込み表記です。

お支払い方法

クレジットカード各種

デビットカード、交通系電子マネー(Suica・ICOCA・pasmo・nimoca)、au PAY、ゆうちょPay、QUICPay、ID、nanaco、waon

医療費控除の活用について

医療費控除は、1月1日から12月31日までの1年間に、ご自身やご家族のために支払った医療費が一定額を超えた場合に、所得税の一部が還付される制度です。年間の医療費の合計が100,000円以上になると対象となります。診療や治療を受けた際の領収書は必ず保管し、紛失しないようご注意ください。

まずは無料相談で気になることを
お聞かせください

CLINIC

医院紹介

〒662-0016 兵庫県西宮市甲陽園若江町6-15

0798-70-3330
診療時間
午前 × ×
午後 × ×

午前:9:00~12:00 / 午後:14:00~18:00
△:9:00~13:00
休診日:水曜・日曜・祝日

アクセス詳細

電車でお越しの方へ

阪急電鉄「甲陽園駅」より徒歩1分

お車でお越しの方へ

夙川、苦楽園、仁川、甲東園、門戸厄神、芦屋市から車15分

宝塚市、伊丹市、三田市からも車30分

 

 

 

 

MESSAGE

こんにちは。「しげしたデンタルクリニック」、院長の茂下 弘延(しげした ひろのぶ)と申します。

当院は、お子さまが「歯医者さんってこわくない!」「また行きたい!」と思えるような、楽しくて安心できる歯科医院をめざしています。それは、小さな頃から歯の健康を大切にすれば、将来の健やかな成長につながるからに他なりません。

私たちはお子さま一人ひとりのペースに合わせて、やさしく丁寧な診療を心がけています。親御さまともしっかりコミュニケーションをとりながら、不安のない治療環境を整えています。

虫歯の予防はもちろん、歯並びやお口の発達など、気になる点があればどんな些細なことでもお気軽にご相談ください。お子さまとご家族の笑顔がもっと増えるよう、スタッフ一同、全力でサポートしてまいります。

略歴

  • 1971年 大阪府大阪市生まれ
  • 1997年 広島大学歯学部 卒業
  • 1997年 黒木歯科医院(大阪府箕面市)勤務
  • 2009年 しげしたデンタルクリニック 開院
  • 2015年 医療法人社団 しげしたデンタルクリニック 設立

資格

歯科医師

まずは無料相談で気になることを
お聞かせください

Q&A

よくあるご質問

どのくらいの期間がかかりますか?

小児予防矯正の場合、多くのケースで1〜2年程度で治療が完了します。それ以上の期間が必要になる場合には、その都度ご相談させていただきます。

スポーツをしていても矯正治療はできますか?

小児予防矯正では、睡眠中と日中の1時間程度の装着で効果が期待できるため、日中は装置を外して過ごせます。スポーツへの影響は少ないといえます。本格的な矯正をご検討の場合は、可能であればマウスピース矯正をお選びいただくことをおすすめします。

装置が見えることでからかわれないか心配です。

小児予防矯正では、毎日決まった時間に取り外し可能な装置を装着する治療法です。外出時や学校に行く際には装置を外しておけますので、見た目を気にする必要はありません。

矯正治療の費用は負担が大きいのでしょうか?

保険適用外の自費診療となるため、費用の負担は大きくなります。
しかし、お子さまが生涯使っていく大切な歯のコンディションを整えることは、長期的な健康維持につながります。

また、小児予防矯正は一般的なワイヤー矯正と比べて費用を抑えられる傾向にあります。

リスク・副作用について

あごの成長に伴い、歯並びや噛み合わせが変化することがあります。また、通院頻度や取り組み状況によって治療結果や期間に影響が出る場合があり、個人差により予定していた治療期間より前後することもあります。治療初期には違和感や不快感が生じることがありますが、多くの場合すぐに慣れていきます。

悪い歯並びは予防できる
5歳から始める予防矯正

歯並びはなぜ悪くなってしまうのでしょうか?「遺伝で決まるもの」と思われがちですが、実はそうではありません。普段の生活習慣やお口の使い方が、歯並びに大きく影響しているのです。

たとえば、口呼吸・頬杖・飲み込み方などのちょっとしたクセが、歯の位置やあごの成長に関わり、歯並びを乱す原因になることがあります。

当院では、すべてのお子さまを対象に、こうしたお口の悪いクセがないかを確認する検査を実施。その上で、歯並びが悪くなる前に対処する「予防矯正」をご提案しています。

予防矯正では、お口のトレーニングで筋肉の使い方を整え、マウスピース型の矯正装置を用いて歯並びが乱れる原因を根本から改善。お子さまが将来もきれいな歯並びで過ごせるよう、私たちがしっかりサポートいたします。

CONTACT

毎月のイベント情報やご予約もLINEから!

ご予約はこちら

当院は妊産婦からの歯科治療、お子さまの月齢別に合わせた歯科治療を行っています。お気軽にご来院ください。

0798-70-3330

LINEお友達登録はこちら

LINEのお友達登録をいただくと、LINEからもご相談いただけます。
 
ぜひ便利なLINEもあわせてご利用ください